Toggle navigation
Home
About Us
Treatments
Preventive Treatments
Pit & Fissure Sealants
Flossing
Mouth Washes
Brushing Technique
Regular Dental Checkups
Cosmetic Treatments
Tooth whitening
Crown,Bridge & Veneers
White Fillings
Implants
Smile design
Conservative Treatments
Root canal treatments
Fillings
Post and Core crowns
Surgical Treatments
Tooth Extraction
Surgical removal of Impacted tooth
Apicectomy
Periodontal Treatments
Periodontal Flap Surgery
Bleeding Gums
Microbiolgic Testing
Bone grafting
Halatosis
Orthodontics Treatments
Fixed Orthodontics
Removable Orthodontics
Development Appliances
Clear Alighner
Advanced Dental & General Health Package
Services
Charges
Photo Gallery
Articles
Articles-English
Articles-Malayalam
Contact Us
Online Enquiry
Photo Gallery
Home
/
Gallery
Photo Gallery
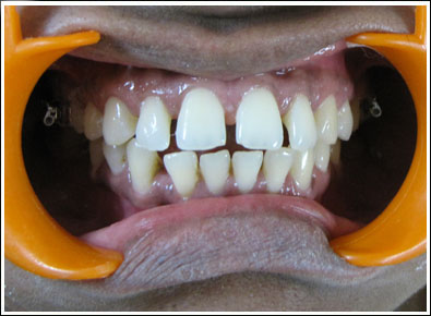
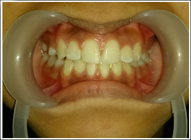
Orthodonic Corrections
Before Treatment
After Treatment
Before Treatment
After Treatment
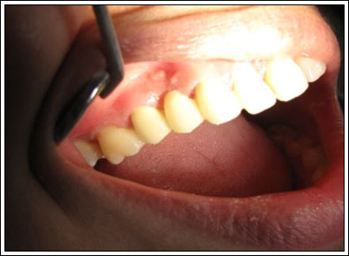
Cosmetic Filling
Before Treatment
After Treatment
Before Treatment
After Treatment
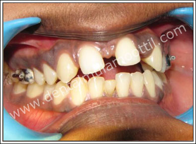
Crown And Bridges
Before Treatment
After Treatment
Smile Correction
Before Treatment
After Treatment
Before Treatment
After Treatment
Before Treatment
After Treatment
Before Treatment
During Treatment
After Treatment
Public Programs
Copyright ©2026 • Designed by
Akeydesigns
karimpumkala.com
kvkidukki.org
panickersholidayhome.com
poabsorganic.com
ziondentalimplantclinic.com
alfuratgroup.net